インプラント

Implant

Implant インプラント治療

歯を失った場合、従来は「入れ歯」や「ブリッジ」で補う方法しかありませんでした。しかし、これらの方法は残っている天然の歯に負担をかけたり、入れ歯では安定感や見た目、噛む力に不満を感じる方も少なくありません。
インプラント治療は、こうした問題を解決するために開発された最先端の歯科医療技術です。すでに30年以上の臨床実績があり、世界的に広く普及しています。インプラントは、顎の骨にチタン製の人工歯根を埋め込み、その上に人工の歯を装着する方法です。天然歯に近い噛み心地や自然な見た目が得られることから、「第3の歯」とも呼ばれています。
当院では、生体親和性の高い純チタンを使用した プラトン・インプラントシステム を採用しています。安全性に優れているだけでなく、患者様の負担を軽減するため、1回のシンプルな手術で完了できる術式を取り入れているのも大きな特徴です。

インプラント埋入手術における副作用およびリスク

  • 術後に痛みや腫れ、感染、内出血に伴う顔面皮膚の変色が生じる可能性があります。
  • 下顎(下あご)の場合、下顎管という神経のくだが走行している為埋入時に神経損傷のリスクがあります。
  • 上顎(上あご)の場合、鼻の横に左右に存在する上顎洞という空洞がある為副鼻腔に穿孔やインプラント迷入のリスクがあります。
  • 特に喫煙や糖尿病は歯肉や骨の治癒に影響があり、インプラント治療の成功に悪い影響を与える可能性があります。

インプラント治療のメリットとデメリット

メリット
  • 天然歯に近い見た目と噛み心地を取り戻せる
  • 周囲の健康な歯を削らずに治療できる
  • しっかり固定されるため、食事や会話も快適
  • 適切なケアを行えば、長期的に安定して使用できる
デメリット
  • 外科手術が必要となる
  • 顎の骨の状態によっては治療が難しい場合がある
  • 保険が適用されないため費用が比較的高額になる
  • 治療期間が数ヶ月以上かかることがある

インプラント治療の流れ

  1. カウンセリング・検査

    レントゲンやCTで顎の骨の状態を確認し、治療の可否を診断します。

  2. 治療計画のご提案

    手術方法・治療期間・費用について丁寧にご説明します。

  3. インプラント埋入手術

    顎の骨にインプラント(人工歯根)を埋め込みます。当院では、患者様の負担を軽減するために1回法を採用しています。

  4. 治癒期間

    数ヶ月かけてインプラントと骨がしっかり結合するのを待ちます。

  5. 人工歯の装着

    インプラントが安定したら、上部にセラミックなどの人工歯を装着します。

  6. メンテナンス

    治療後は定期的な検診とクリーニングを行い、長期的に健康な状態を維持します。

インプラント治療の症例

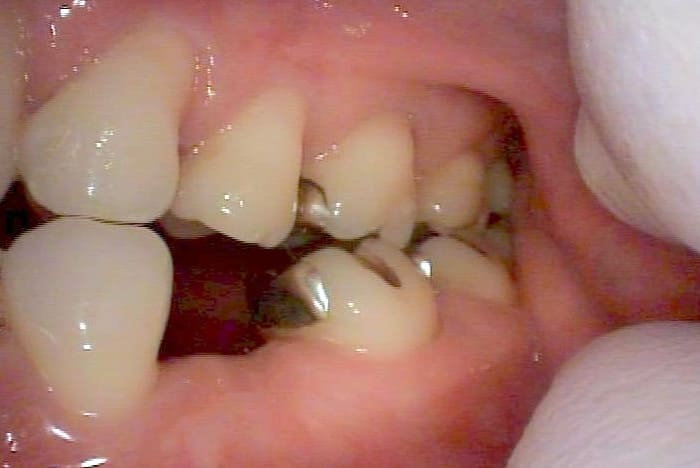
歯が無い状態

治療前の状態です。欠損した歯の部分があり、噛み合わせや見た目に影響が出ています。

インプラントを埋め込んだ状態

顎の骨にインプラント(金属の人工歯根)を埋入した状態です。上部に人工歯を装着する準備が整いました。

隣の歯との嚙み合わせを調整

隣接する歯の咬合を整えるため、詰め物部分にかぶせ物を装着しました。噛み合わせの安定性も確保しています。

人工歯を装着

インプラント上にセラミック製の人工歯を装着しました。自然な見た目と嚙み合わせの安定性を両立しています。

インプラント治療の料金

インプラント治療を行うための検査・診断料金
項目 料金(税込) 合計(税込)
CT撮影費用 ~11,000円 22,000円
デジタルシミュレーション (ストローマン社製 coDiagnostiX®) ~11,000円
模型作製(個人トレー、シリコン印象材を用いた精密印象)、
デジタルワックスアップを含む
ラジオグラフィックガイド ~22,000円
金属によるかぶせ物の治療を多数されている場合などに、精密な検査を行うため追加で必要となることがあります。
インプラント治療にかかる料金
項目 料金(税込) 合計(税込)
インプラント埋入手術費(1本) ~220,000円 440,000円
アバットメント(土台) ~55,000円
プロビジョナルレストレーション(仮歯) ~44,000円
上部構造(かぶせ物・ジルコニア等) ~121,000円
ガイデッドサージェリー ~55,000円
検査・診断時のシュミレーション通りに、インプラントをより正確かつ安全に埋入するためのシステムです。

追加でGBR(骨誘導再生療法)や軟組織移植が必要な場合があります。

〒003-0834
札幌市白石区北郷4条12丁目24-5
診療時間
9:30~13:00 - -
14:30~19:30 - - - -
14:30~18:00 - - - - - -

※平日は19:30まで、土曜・祝日は18:00まで診療、水曜・日曜は休診となります。

  • バスでお越しの方

    川下5条1丁目停留所より徒歩1分

  • JRでお越しの方

    千歳線平和駅より徒歩12分

  • お車でお越しの方

    医院前に10台分の駐車場がございます。

call 電話予約
keyboard_arrow_up